Departamento de Cultura y Política Lingüística

Izadi Jakintza»Izadi jakintza

Zelularen gunea, I. (Interfasikoa)

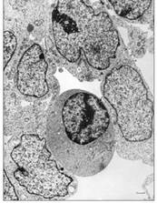
1. Irudia: Gune interfasikoak mikrografia batean

LABURPENA: Gunea zelularen organulu guztiz berezia da, gunearen mende baitago ia osorik zelularen jardunbidea. Normalean, gune bana izaten da zeluletan, eta bi itxuratakoa izan daiteke, zelularen bizitzaren unearen arabera; hori dela-eta, bi gune mota bereizten dira: interfaseko gunea eta meiosikoa. Hauek dira gunearen osagaiak: mintza poroduna (bikoitza da), nukleoloa, nukleosoma eta kromatina. Azkenak, kromatinak, DNA dauka bere baitan, informazio genetikoa duena, eta gunearen jardunari eragiten dioten egitura desberdinak (sakabanatua edo trinkotua) izan ditzakeena. Bi dira gunearen eginkizun nagusiak (kromatinarenak batez ere): batetik, proteinen sintesiaren bitartez zelularen bizitza gidatzea, eta, bestetik, material genetikoaren bikoiztea. Gainerako organuluek kromatinarekin zerikusia duten eginkizunak betetzen dituzte (erribosomen sintesia, etab.).

 

Zelularen gunea

Ezaugarri orokorrakGune interfasikoaondo-ondoan dago , eta erribosomaGunearen eginkizunak

 

Ezaugarri orokorrak

Gunea, zitoplasmaz independentea den benetako zelula organulua denez gero, zelula eukarioto guztietan dago, zenbait animalia edo landare mota berezitan izan ezik, hala eritrozitoetan, floemetan, etab. Zelularen organulu handiena da (10-12 µm), eta mikroskopioz ikusi zen aurrenekoa (Brown, 1831). Nolanahi ere, azpimarratu behar da gunea, egitura independente gisa, zelula bizitzaren aldi batean besterik ez dela existitzen, interfase deritzanean, gainerakoan, banaketan zehar, desagertu egiten baita, bere osagai nagusia galtzen ez den arren.
Azken puntu horri dagokionez, esan daiteke, bizitzako zein unetan hartzen den, bi itxura izaten dituela guneak. Zelularen bizitzan bi gune balira bezala da: zatitzen ari denean, mitosi gunea deritzana ikusten da; gainerakoan, gune interfasikoa. Kontuan izan behar da zelula asko ez direla inoiz zatitzen, eta, hori dela-eta, gune interfasikoa besterik ez dute. Hemendik aurrera, ezaugarri orokorrak aipatzean, gune interfasikoaz arituko gara beti.
Normalean, gune bana izaten dute zelulek, egia den arren era guztietako kasuak ikus daitezkeela, hasi gunerik ez izatetik (ikus lehenagoko adibideak), eta bi gune edo gehiago izateraino (osteoklastoak edo gihar zelula ildokatuak, adibidez). Formari dagokionez, esfera edo arrautz tankerakoak izaten dira gune gehienak; batzuetan, gunearen formak izaten du zerikusirik zelularen beraren formarekin (laua epitelio zeluletan, eliptikoa gihar lauetan, etab.). Salbuespenezko kasuak ere badira, gunea lobulu-anitza denean (leukozitoak, tumoretako zelulak, etab.).Gunearen neurriak badu zerikusirik zelularen osotasunarekin (zelularen heren bat izaten da gutxi gorabehera), eta orobat zelula motarekin. Kokaguneari dagokionez, zelularen erdian egon ohi da gehienetan, baina bestelakoak ere sarritan gertatzen dira, hala guruin exokrinoetako zeluletan, edo Acetabularia algan, zeinetan beheko ertzean, oinean, baitago.

 

Gune interfasikoa

Zelulen bizitzako aldi honetan, endomintzen sistemaren parte den bildukin batez inguratua ageri da gunea; zehatzago, erretikulu endoplasmatikoaren parte espezializatu bat da bildukin hori. Bi mintzek osatzen dute: bata kanpokoa da, zitosolarenondo-ondoan dago, eta erribosoma erantsiak ditu; barnekoa da bestea, nukleoplasmaren ondo-ondoan dago, eta proteina bereziak ditu barnealdean. Mintz arteko espazio bat dago bien artean, 20-40 nm artekoa.
Gunearen azalaren puntu batzuetan ez dago etenik bi mintzen artean, eta egitura proteiko diren ildo batzuk mugatzen dituzte, gune poroak; horietan gertatzen da gunearen eta zitoplasmaren arteko gai trukea.
Barneko mintzak, gunearen aldetik, xafla bat du, leku desberdinetan lodiera desberdinak dituena (30-100 nm), zuntz egitura proteikoz osatua; zuntz horiek kromatinaren DNArekin lotzen dute mintz hau. Zitoplasmaren erdialdeko izpien antzekoak dira zuntzak, eta, dirudienez, horietantxe hasten da bikoiztea.
Guneko poroak gehiago edo gutxiago izan daitezke, zelula motaren (milaka batzuk giza zelula batean, adibidez), eta egoera fisiologikoaren arabera, eta gehiagotu edo gutxiagotu ere egin daitezke zelularen beharren arabera.
Poro bakoitzak 100 nm-ko diametroa du, eta itxura eta konposizio desberdineko atal sistema konplexu batez osatuak dira, erdian ozta 9 nm-ko hodi bat uzten dutela.
Poroen kimika osagaien artean, polipetidoak dira nagusiak.
Gunearen barnealdea gelatina antzeko gai batek betetzen du, nukleoplasmak (guneko zitosola); askotariko osakera du, eta, besteak beste, hortxe daude azido nukleikoen sintesirako beharrezkoak diren entzima guztiak.
Horretan dago nukleoloa (bat baino gehiago ere izan daiteke), DNA, rRNA eta entzimez osaturiko egitura esferikoa, kromatina, DNAz eta histonez osatua, zeintzuek itxura pikortsuko egitura guztiz konplexuak osatzen baitituzten.
Nukleoloak ez du mintzik, baina oso egitura zehatza du, mikroskopio eletronikoaren bidez ikus daitezkeen hiru partez osatua: a) zuntz osagai argi bat, nukleolo antolatzailearen DNA ez aktiboak osatua (ik. gunearen funtzioak); b) zuntz osagai trinko bat, aurrekoa inguratzen duena eta nukleoloaren parte aktiboa dena, DNA aktiboz osatua, ARNra transkribatzen dena; c) osagai r pikortsu periferiko bat, 15 nm-ko diametroa duten RNAzko zatikiz osatua, eta aurrerri- r bosomen pilaketa lekuari dagokiona, zitoplasmara igaro aurretik.
Nukleoloen kopurua eta neurria zelularen neurriaren arabera alda daiteke; aktibitate gutxiko zeluletan ez dago nukleolorik, eta, aitzitik, nukleolo handiak izaten dira proteinen sintesi garrantzitsua den zeluletan. Izan ere, nukleoloaren neurria bere parte pikortsuaren garapenaren araberakoa izaten da batez ere.
Kromatina da gunearen osagai nagusia eta iraunkorra (mitosi gunean ere badago,nahiz eta kromosoma forman agertu), eta, hori dela-eta, oso sakon aztertu izan da.
Mikrosokopio optikoaren bidez aztertzerakoan itxura pikortsua duen arren, kromatinaren parte handiena (kromatina barreiatua deritzana), mikroskopio elektronikoz begiratuta, 30 nm-ko diametroa duten zuntzez ageri da osatua. Zuntz hori kiribildu egin daiteke, eta zuntz trinkoago bat osatu, 200-330 nm-ko diametrokoa, kromatina trinkotua eratuz; horrek itxura pikortsuagoa izaten du interfasean. Kromatinazko zuntz bakoitza DNAzko molekula batez dago osatua, zenbait proteina motarekin loturik; proteina horien artean, histonak dira nagusi.Kromatina mota bakoitzak, zeinek bere jardunarekin du zerikusia. Kromatinabarreiatua –eukromatina ere esaten zaio–, DNA aktiboa agertzen den modua da, geneak transkriba ditzakeena, eta proteinak erribosoma bihurtzen dituen sintesia gida dezakeena. Forma trinkotua, heterokromatina deritzana, DNA ez aktiboak osatzen du. Zelulak banaka aztertuz antzematen da hori: proteina kopuru handiak fabrikatzen dituzten zelulek kromatina barreiatu asko duen gunea izaten dute, eta geldirik daudenetan berriz kromatina trinkotua da nagusi. Bigarren mota horretan berezi beharrekoak dira heterokromatina osagarria, organismo bakoitzak berezkoa duena, eta zelula guztietan beti aktibitaterik gabe dauden geneei dagokiena, eta heterokromatina ez osagarria, zelula mota batzuetatik besteetara aldatzen dena.

 

Gunearen eginkizunak Hämmerlingen saioa

Gunea ezinbestekoa da zelularen bizitzarako; joan den mendean bertan frogatu zuten garrantzi hori Hertwig eta Flammingen lanek. Geroago, 1930-40 urteetan, Hämmerlingek, bere esperimentu famatuekin, frogatu egin zuen oinarrizko eginkizun hori. Azkenik, azken hamarraldietako aurreramendu genetiko eta biokimikoek osatu dute gunearen eginkizunen ezagutza.
Kromatinan gertatzen dira gunearen bi eginkizun nagusiak: zelula bizitzaren gidatzea, DNAn dagoen informazio genetikoari esker egiten dena, eta gene material horren bikoiztea, zelula alabei igortzeko gero zelula zatiketan.
Kromatina da, DNAren bitartez, RNAen sintesiaren eragilea ( RNA, RNA eta m r RNA), bai kromatinan bertan (eukromati- t nan batez ere), bai nukleoloan, eragiten duten geneetatik abiatuta. Azido nukleiko horiek guztiek parte hartzen duten proteinen sintesian (dagokion atalean aztertuko dira sintesi horren xehetasunak). Jakina denez, organismo baten zelula guztiak, mitosi bidez, zelula bakar baten ondorengo direnez (zigotoaren ondorengo), gene informazio bera dute. Nolanahi ere, gu bezalako izaki zelulanitzetan zelula mota desberdinak daude (ehunak), eta zeinek bere proteina sortzen du. Dirudienez, guneko proteinek paper erabakigarria dute zelulen bereizketa honetan, gai baitira geneen adierazpena erregulatzeko.
Zelulen bereizketak zerikusi zuzena du halaber kromatinaren egiturarekin; nahitaezkoa da ez dadila trinkotua egon (eukromatina), proteinen sintesian jardun ahal izateko. Kromatinaren trinkotzea eta destrinkotzea modu desberdinez gertatzen da zelula mota bakoitzean; prozesu hori, dirudienez, heterokromatina ez osagarriaren mailan gertatzen da, halako eran non zelula mota bakoitza kromatina horren leku desberdinetan destrinkotzen baita.
Kromatinaz gainera, beste egitura batzuk ere badira lehen aipaturiko eginkizunetan parte hartzen dutenak, modu desberdinez ordea. Nukleoloa RNAren eta r erribosomen sintesiaren lekua da, RNA r sortzeko informazioa daukan nukleoloaren zuntz osagai argiaren DNAren geneen multzo baten edo gehiagoren (multzo horiei gune antolatzaile deritze) aktibo bihurtzearen ondorioz. Nukleoplasmak, bestalde, lehengaia, energia (ATP), eta prozesu horietarako guztietarako behar diren entzimak jartzen ditu. Azkenik, mintza, bere poro guztiekin, gaiak hautatuz, zitoplasmaren eta gunearen arteko gai trukea kontrolatzeaz arduratzen da.4. Irudia: Hämmerlingen esperimentua.<br>