Dolor de espalda
- Sobre la enfermedad
- Diagnóstico
- Síntomas
- Prevención y factores de riesgo
- Tratamientos y cuidados
- Preguntas frecuentes
¿Qué es el dolor de espalda?
El dolor de espalda es extremadamente frecuente. Hasta un 80% de las personas tienen a lo largo de su vida un dolor de espalda intenso. La mayor parte de estos dolores son benignos y desaparecen de forma espontánea.
Consulte a su médico si tiene dolor de espalda con alguna de las siguientes condiciones:
- La primera vez que duele el cuello o la espalda, para confirmar que se debe a una afección del cuello o la espalda.
- Si tiene signos neurológicos: disminución importante de fuerza en las piernas, pierde sensibilidad en la zona genital y periné, pérdida del control al orinar o defecar, o alteración de la movilidad fina de los dedos.
- Fiebre no explicada.
- Imposibilidad de hacer la más mínima flexión hacia delante.
- Dolor que no varía en función de la postura, que es predominantemente nocturno, que dura más de 14 días o, en pacientes con osteoporosis, dolor que aparece tras una caída o traumatismo.
- Pérdida injustificada del 10 por ciento o más del peso corporal.

El dolor de espalda varía mucho y depende de diversos factores, aunque en la mayor parte de los casos no suele ser un dolor único y se complica con lesiones asociadas como contracturas musculares, compresiones nerviosas dolorosas, etc. No suelen ser dolores puros, sino una mezcla de ellos.
Las palabras más frecuentes utilizadas son:
- Cervicalgia: Dolor localizado en la zona cervical.
- Dorsalgia: Dolor localizado en la zona dorsal.
- Lumbago o lumbalgia: Dolor localizado en la zona lumbar.
- Ciática o ciatalgia: Dolor irradiado por la pierna, por el trayecto del nervio ciático.
- Lumbociática o lumbociatalgia: Dolor mezcla de los dos anteriores.
Anatomía de la columna vertebral
- Vértebras:
- 7 vértebras cervicales numeradas de C1 a C7.
- 12 vértebras dorsales numeradas de D1 a D12.
- 5 vértebras lumbares numeradas desde L1 a L5.
- Sacro con 5 vértebras fusionadas desde S1 a S5.
- Coccix.
- Discos intervertebrales:
- Situados entre los cuerpos vertebrales, hacen función de amortiguador. Tiene una zona periférica llamada annulus y otra central llamada núcleo pulposo. Cuando se rompe el annulus, el núcleo puede salir fuera y formar una hernia discal.
- Facetas o articulaciones posteriores:
- Cada vértebra se articula con las vértebras inferior y superior a ella con dos pequeñas articulaciones situadas en la zona posterior de la misma, llamadas facetas.
- Médula y Cola de Caballo:
- La médula espinal termina en el área lumbar L1-L2 y continúa por el canal neural como nervios espinales. La agrupación de estos nervios se denomina “cola de caballo”.
- Raíces nerviosas:
- Desde el espacio entre el cráneo y la primera vértebra cervical, C1, hasta el sacro, van saliendo las raíces nerviosas una a una, a derecha e izquierda por los agujeros de conjunción entre cada dos vértebras. Una vez que salen de las vértebras dan dos ramas, una pequeña hacia atrás y otra gruesa hacia delante. La unión de estas últimas en la zona cervical formarán los nervios que van hacia los brazos y el tronco, y en la zona lumbar los que bajan hacia las piernas y la zona genital (nervios crural, ciático, pudendo...)

- Ligamentos: Unen las vértebras entre sí y con los huesos con los que se articulan: costillas, esternón, sacro, pelvis…
- Longitudinales anterior y posterior.
- Amarillos.
- Inter y supra espinosos.
- Iliolumbares, sacrotuberosos… Suelen ser zonas donde aparecen puntos dolorosos..
- Músculos:
Además de realizar los movimientos del cuerpo, en el caso de las espalda los músculos mantienen la columna estable y amortiguan los cambios de equilibrio que se producen con el movimiento.
Por esta razón es importante mantener la musculatura en buen estado. Cuando los músculos son potentes pueden adapatarse a las modificaciones que se producen en vertebras, articulaciones, discos, etc. En cambio, el mal funcionamiento de la musculatura produce el 90% de los dolores de cuello y espalda.
Existen varios grupos musculares que trabajan de forma coordinada: espinales, abdominales, gluteos, isquiotibiales, adductores, psoas, pectorales, trapecio...
Funciones de la columna vertebral
La columna vertebral lumbar tiene tres funciones primordiales:
- Sostener erguido el cuerpo: Mantener y trasmitir el peso de la cabeza, extremidades superiores y tronco hacia las piernas.
- Permitir el movimiento: Por ello está compuesta por 33 vértebras dispuestas una encima de otra y articuladas entre sí.
- Proteger la médula espinal, que discurre por el agujero que las vértebras tienen en su centro: el canal medular.
Diagnóstico y pruebas complementarias
Historia clínica
Es la base del diagnóstico y la parte más importante del mismo.
El qué duele, cómo duele y cómo se calma, cuándo y desde cuándo y por dónde duele son los aspectos esenciales en un diagnóstico correcto. El médico de familia, el traumatólogo o el fisioterapeuta serán capaces de enfocar adecuadamente los síntomas y signos y llegar a un diagnóstico probable.
Posteriormente, las pruebas complementarias (de imagen, de laboratorio, electromiográficas…) ayudarán a confirmar ese diagnóstico o descartar otros.
Es importante no invertir este proceso, porque podemos convertir en enfermos a personas que no lo están. Es diferente tener una imagen de hernia discal en la Resonancia Magnética, que realmente estar enfermo de hernia discal.
En la Historia Clínica, entrevista y exploración, se descartan inicialmente las enfermedades más importantes:
Si tiene más de 50 años
- Un dolor continuo que no varía en función de la postura.
- Ha perdido peso (10 por ciento o más) y el dolor va en aumento pese a la toma de analgésicos.
- Tiene signos neurológicos: disminución importante de fuerza en las piernas, pierde sensibilidad en la zona genital y periné, pérdida del control al orinar o defecar, o alteración de la movilidad fina de los dedos.
- Tiene fiebre no asociada a nada.
Pruebas complementarias
Las pruebas complementarias nos ofrecen una representación del cuerpo. No hay ninguna que dé una información 100% fiable, esto es, que diagnostique siempre sin error. A veces podemos ver alteraciones que en realidad no existen, y otras veces, no ver enfermedades existentes.
Algunas pruebas (las más sensibles) nos permiten principalmente descartar enfermedades. Otras, en cambio, (las más específicas) sirven sobre todo para confirmarlas.
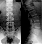
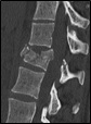
De imagen
- Radiografía (Rayos X)

Es una prueba accesible, barata y no invasiva que puede realizarse en las fases iniciales de la enfermedad. Tiene como problema la radiación X utilizada. Sirve, especialmente, para valorar la disposición de los huesos y detectar fracturas, fisuras y desplazamientos óseos. Sirve también para observar indirectamente los tejidos blandos. Es la primera prueba de imagen a utilizar y debiera gestionarse desde Atención Primaria.
Las radiografías más usuales son la antero posterior y la lateral. Sin embargo, existen otras proyecciones que nos ayudan en determinadas enfermedades: radiografías oblicuas, dinámicas, bendings…
- T.A.C. (Escáner)

Es una prueba no invasiva, pero más cara y menos accesible que las radiografías. La dosis de radiación (Rayos X) que se recibe es alta. Diagnostica muy bien problemas de los huesos y menos de los tejidos adyacentes. En la actualidad se pueden obtener imágenes en 3 dimensiones que nos ayudan a comprender mejor el estado de las vértebras. Puede utilizarse como guía para obtención de biopsias, cultivos, etc. Su uso se reserva al médico hospitalario.
- Resonancia Magnética Nuclear (RM)

Es una prueba no invasiva y que no utiliza tecnología de radiaciones ionizantes (solo emite un campo electromagnético) por lo que se considera inocua. Tiene una alta sensibilidad y especificidad sobre todo en el diagnóstico de lesiones de tejidos blandos (no del hueso), como por ejemplo, las hernias discales, infecciones, tumores, etc.
Es la prueba que mejor permite ver esos tejidos blandos. Sin embargo, tiene el problema de tener muchos falsos positivos. Es decir, ve lesiones que no se traducen en enfermedades y puede confundir en el diagnóstico y llevarnos a realizar tratamientos agresivos no necesarios. Realizar una resonancia cuando no está indicada aumenta un 400 por ciento el riesgo de ser operado sin necesidad.
Su uso debiera reservarse al médico hospitalario y realizarlas solo cuando las considere pertinentes.
- Gammagrafía.

Es una prueba muy sensible en el diagnóstico del dolor lumbar, aunque no tan específica como la RM. Nos sirve para detectar infecciones de hueso, fracturas, aplastamientos y descartar signos de cáncer o metástasis ósea. Utiliza un radiofármaco que se inyecta por una vena y se distribuye por todo el cuerpo. En una gammacámara se obtienen imágenes de dónde y cómo se ha ido depositando. Las dosis de radiación son muy pequeñas y se considera una prueba prácticamente inocua.
- Otras pruebas de imagen:

Son pruebas especiales que se realizan en ocasiones seleccionadas, pero que pueden ser de gran utilidad: ecografías, discografías, mielografías, gammatac, etc.
De laboratorio
- Análisis Generales:
Nos ayudan en el diagnóstico de enfermedades generales y son de especial importancia en las enfermedades infecciosas, reumáticas y tumorales.
Dentro de estos análisis básicos incluiríamos: una bioquímica básica (glucemia, creatinina), un hemograma y fórmula y un estudio de la coagulación (importante si vamos a hacer alguna otra prueba o tratamiento invasivo). Además, haremos una PCR y una VSG (muy importantes para descartar una infección).
- Análisis Específicos:
Existen algunas enfermedades que conllevan alteraciones analíticas específicas y las debemos pedir si sospechamos alguna de ellas.
Por ejemplo, Rosa de Bengala en Brucelosis, marcadores tumorales si sospechamos una enfermedad neoplásica, HLA B27 en la espondilitis anquilopoyética, etc.
Neurofisiológicas
- Electromiografía:

Nos permite el estudio de los nervios periféricos y la respuesta muscular cuando se estimulan. En el dolor de espalda nos sirve para saber si un determinado nervio está afectado y el nivel de lesión que tiene.
Por ejemplo, una hernia discal en el espacio L4-L5 puede afectar a una rama del ciático que es la L5. Una electromiografía nos servirá para saber si ese nervio no está comprimido y por lo tanto está normal, o si por el contrario existe una alteración del nervio.
Es una prueba inocua aunque puede ser algo molesta durante su realización. Es una prueba muy específica. Cuando nos dice que un nervio está lesionado, es porque lo está.
Síntomas del dolor de espalda
Tipos de dolor
Existen diferentes tipos de dolor. Es importante conocer cómo es el dolor que se tiene para facilitar al profesional sanitario el diagnóstico y el tratamiento
- Localizado: Fundamentalmente mecánico, es decir, al moverse. Este dolor es típico por problemas en los discos y las facetas.
- Irradiado: Al comprimir un nervio, notamos un dolor que irradia por el trayecto del nervio. Es típico el dolor ciático, por la pierna.
- Referido: Puede doler la zona lumbar por enfermedades ginecológicas, abdominales, renales, de la cadera o articulaciones sacroiliacas, etc.
- Asociado: El dolor no se siente igual en todas las personas. Los problemas psicológicos y depresiones, la habituación a fármacos y los problemas familiares, laborales o sociales pueden agravar el dolor.
Patrones del dolor
El dolor es una respuesta compleja a los estímulos que recibe el cerebro. En función de que esos estímulos provengan de una región u otra, el tipo de dolor es diferente:
- Discógeno: Relativo al disco intervertebral. Es un dolor mecánico o inflamatorio que empeora con la flexión.
- Facetario: Relativo a las articulaciones posteriores o facetarias. Es un dolor mecánico que empeora con la extensión.
- Radicular: Relativo a las raíces nerviosas. Es un dolor irritativo, característico de la ciática.
- Estenótico: Relacionado con la compresión de las raíces nerviosas en el canal de la médula. Es un dolor irritativo, que produce claudicación neurógena, al andar tienes que pararte y sentarte.
- Otros.
Prevención y factores de riesgo
La prevención del dolor lumbar se basa en 3 pilares fundamentales:
- Mantenerse física y mentalmente activo
Debemos evitar el sedentarismo y restringir la inmovilización a los casos en los que se dé un proceso de dolor agudo: fractura en fase de consolidación, lesión reciente de músculos, ligamentos…
El ejercicio físico mantenido en el tiempo produce muchos beneficios: activa la circulación, aumenta la sangre que reciben los órganos y músculos, mejora el estado cardiovascular, ayuda a fijar el calcio en los huesos, aumenta el metabolismo y contribuye a controlar el sobrepeso, mejora a nivel anímico, etc.
Lo ideal es realizar una actividad que sea del gusto de la persona. Por un lado porque ello facilitará el desarrollarla durante largo tiempo, que es como se consiguen los efectos antes mencionados. Y por otro, por los efectos beneficiosos a nivel anímico que produce la actividad: sensación de relajación, bienestar, tener más energía…
- Higiene postural y ergonomía
Se basa en que seamos conscientes de cómo colocamos nuestro cuerpo cuando nos movemos, cuando estamos en posiciones estáticas, al coger pesos, etc.
La postura correcta es la actitud que toma una persona haciendo los menos esfuerzos musculares posibles y, al mismo tiempo, protegiendo sus estructuras de sostén de posibles traumatismos.
Los beneficios de la ergonomía se han demostrado en los siguientes casos: al estar mucho tiempo en la misma postura (sobre todo, de pie), al realizar movimientos repetitivos y al cargar pesos de forma continuada. En las demás situaciones no hay evidencia de que mantener una postura u otra mejora la salud de la espalda.
Uno de los pilares de la higiene postural son los cambios posturales frecuentes, especialmente en las situaciones en las que pasamos largo tiempo en la misma posición: en el trabajo, frente al ordenador, en el sofá… De esta manera distribuimos las cargas por las diferentes partes del cuerpo.
Al levantar pesos repetidas veces es aconsejable utilizar los diferentes músculos del cuerpo, como los de las piernas y brazos, y no solo los de las lumbares. Conviene que la carga esté los más cerca posible de nuestro cuerpo y evitar la rotación del tronco. Los movimientos que tengamos que hacer con ese peso, trataremos de realizarlos con un desplazamiento de las piernas: mover todo el cuerpo y no solo el tronco, flexionar las rodillas, subirnos en un peldaño...
Al inclinar el tronco hacia adelante, si es posible apoyaremos una mano para aliviar el esfuerzo que realizan los músculos lumbares.
Al permanecer de pie, trataremos de apoyar un pie en un peldaño, reposapies, taburete... e ir alternando la posición: apoyamos primero un pie, posteriormente lo cambiamos y después apoyamos los dos pies en el suelo. Si no tenemos dónde apoyar los pies podemos cargar el peso primero sobre una pierna, luego sobre la otra y después sobre las dos.
En la posición sentada, un pequeño apoyo en la zona lumbar puede ser de gran utilidad. Realizaremos movimientos de pelvis, en los casos en los que no podamos hacer cambios de postura o ponernos de pie y caminar.
- Mantener la musculatura en buena situación.
En general los músculos necesitan ser contraídos y estirados para mantenerse en buen estado. En el caso de la espalda y el cuello, son muchos los que tienen relación e influencia y por ello las actividades que provocan movimentos globales del cuerpo son muy beneficiosas.
Si queremos trabajar la musculatura de una forma más analítica, por un lado, deberemos fortalecer los músculos con tendencia a la debilidad (como los abdominales). Y por otro lado, trataremos de estirar los que tienden al acortamiento (como los músculos espinales, psoas, isquiotibiales o adductores).
Tratamientos y cuidados
Una buena información proporcionada por profesionales de la salud ayuda a comprender la enfermedad, a conocer su curso y despejar dudas y creencias erróneas. La utilización aislada de Internet, puede confundir si no va acompañada del consejo de un experto, mientras que si se usa guiado por él puede ser de gran utilidad.
Aplicación local de calor o frío
Consiste en aplicar calor o frío sobre una zona dolorosa, Para el calor es suficiente una temperatura de 40º y es previsible que el efecto aumente si se complementa con ejercicio.
Con el frío se debe evitar la exposición intensa y prolongada por el riesgo de sufrir quemaduras.
No hay evidencia de cuándo es mejor aplicar frio y cuándo mejor el calor.
Cada persona puede probar si el calor o el frío mejoran su dolor y si es así, aplicarlo.

El único momento en el que no se recomienda hacer ejercicio es en pleno episodio agudo de dolor, o en los periodos de exacerbación del dolor crónico.
Ejercicio físico
Ha demostrado mejorar la incapacidad que produce el dolor, reducir el riesgo de que se repitan episodios de dolor y, si aparecen, acortar su duración.
En general, es beneficio cualquier ejercicio que no desencadene o aumente el dolor y que no exceda la capacidad física (muscular y cardiovascular).
El único momento en el que no se recomienda hacer ejercicio es en pleno episodio agudo de dolor, o en los periodos de exacerbación del dolor crónico.
¿Cuánta actividad física se recomienda?
Recomendaciones de la OMS:
- Practicar al menos 150 minutos semanales de actividad física moderada, o al menos 75 minutos semanales de actividad física intensa, o una combinación equivalente entre actividad moderada e intensa.
- Para obtener mayores beneficios para la salud estas personas deben llegar a 300 minutos semanales de actividad física moderada, o su equivalente.
- Las personas con problemas de movilidad deben practicar actividad física para mejorar su equilibrio y prevenir caídas por lo menos 3 días a la semana.
- Conviene realizar las actividades de fortalecimiento muscular 2 o más días a la semana y de tal manera que se ejerciten grandes conjuntos musculares.
Masaje
Principalmente produce relajación muscular, efecto analgésico y mejora el riego sanguineo.
Se ha comprobado que es eficaz en los procesos subagudos y crónicos (en los que duran más de 6 semanas) produciendo un alivio transitorio del dolor.
No se ha podido demostrar con claridad su efecto en los casos agudos ni que consiga la desaparición del dolor a largo plazo.
Educación sanitaria
Trata de que el paciente asuma la parte de responsabilidad que tiene sobre su propia salud adquiriendo conocimientos y destrezas para hacer frente al dolor.
Existen diferentes enfoques: escuela de espalda, pedagogía del dolor, etc.
Fajas y collarines
Disminuyen el movimiento y el trabajo muscular de la zona que rodean (cervical o lumbar).
Solo deben usarse en casos excepcionales y de forma puntual, en casos de:
- Fractura o aplastamiento de vertebras.
- En episodios de dolor agudo, para que la persona pueda llevar una vida lo más normal y activa posible.
- Cuando se vayan a realizar actividades o posturas que aumenten significativamente el dolor (por ejemplo, esfuerzos intensos en el trabajo o viajes largos en posturas estáticas).
Producen pérdida de tono, coordinación y masa muscular. Por lo que se deben utilizar el menor tiempo posible. Los estudios demuestran que no son eficaces para mejorar el dolor a medio y largo plazo.
Fármacos
- Analgésicos no opiáceos (paracetamol, metamizol):
Habitualmente son los fármacos iniciales en el tratamiento. Se tienen pocos datos sobre sus efectos secundarios, aunque no son frecuentes.
- Antiinflamatorios no esteroideos (ibuprofeno, aspirina, diclofenaco):
Tienen un efecto más potente que los analgésicos no opiáceos.
Los efectos secundarios más habituales son los digestivos y cardiovasculares. - Relajantes musculares:
Es mayor el efecto analgésico que la relajación muscular. Entre sus efectos secundarios se encuentran la somnolencia y la toxicidad para el hígado.
Son menos efectivos que los antiinflamatorios pero pueden ser útiles en personas con problemas de sueño. - Corticoides:
Habitualmente se inyectan por vía intramuscular cuando hay dolor intenso, que irradia hacia pierna o brazo.
Tienen muchos efectos secundarios: cardiovasculares, digestivos, endocrinos... - Fármacos de segunda línea (opiáceos y antidepresivos):
Se utilizan como refuerzo de los anteriores si no se controla el dolor.
Los efectos secundarios son bastante frecuentes y en el caso de los opiáceos pueden generar adicción.
Electroterapia (TENS)
Consiste en aplicar una corriente de baja frecuencia para conseguir efectos analgésicos. Tiene más efecto que un placebo aunque su duración es breve. No tiene efectos secundarios de relevancia.
Neuroreflejoterapia (NRT)
Consiste en implantar en la piel un pequeño material quirúrgico. Se ha demostrado que tiene evidencia científica.
En caso de efectos secundarios en la piel se extrae el material.
Tratamiento psicológico
Han demostrado ser eficaces la atención consciente (o mindfulness), el tratamiento cognitivo conductual y la relajación.
Es especialmente indicado cuando el dolor tiene una repercusión psicológica importante, cuando hay una restricción de la movilidad mayor de la que condiciona el dolor, o en pacientes de personalidad ansiosa.
Infiltraciones
Consiste en introducir un fármaco (habitualmente corticoides) en la zona donde se cree que se origina el dolor.
Se proponen cuando los tratamientos conservadores no han logrado el efecto deseado y como tratamiento anterior a la cirugía.
En general, no se recomienda realizar más de tres en la misma región.
Rizolisis
Consiste en destruir mediante sustancias químicas o calor los pequeños nervios que recogen la sensibilidad del disco intervertebral y de las articulaciones de la columna.
Cirugía
- Discectomía y microdiscectomía:
Consiste en quitar la parte de un disco intervertebral herniado. Ha demostrado ser efectiva en los casos en los que la hernia discal requiera cirugía. No es útil para prevenir futuros episodios de dolor.
- Artrodesis:
Consiste en fijar una articulación. Al no tener movimiento, el segmento fusionado deja de transmitir dolor. En cambio, las articulaciones de alrededor que han quedado móviles deberán compensar la falta de movimiento de la articulación artrodesada.
- Laminectomía:
Consiste en quitar una parte de la vértebra (la lámina). Se practica cuando se da una estenosis espinal o cuando el cirujano detecta un agujero de conjunción estrechado.
¿Qué otros aspectos del dolor de espalda deberías saber?
¿Debo realizar chequeos periódicos de la espalda?
Si no hay molestias o síntomas que lo justifiquen, no es necesario.
Los estudios científicos demuestran que ningún hallazgo precoz aumenta significativamente el riesgo de padecer dolor de cuello o espalda.
Y ninguna medida aplicada por el personal sanitario ha demostrado ser eficaz para reducir el riesgo de que se produzca dolor en el futuro.
Por ello lo más conveniente es realizar actividad física, entrenar la musculatura y prestar atención a la forma de movernos y a las posiciones estáticas
¿Siempre que me duele la espalda debo guardar reposo?
El reposo es aconsejable solamente cuando se tiene un dolor intenso que aumenta con el movimiento, y debemos realizarlo el menor tiempo posible.
Realizaremos las actividades que no desencadenen ni aumenten el dolor. Por ejemplo, si se tiene un dolor que al caminar se mantiene pero no aumenta, lo conveniente es no dejar de caminar.
Con la actividad física se consigue que aumente la irrigación del músculo y se evita que pierda fuerza y tono muscular. Y de esta manera, disminuye el tiempo que dura el episodio doloroso, la incapacidad que causa y el riesgo de que se repita en el futuro.
¿Cuándo tengo que ir al médico si siento dolor de espalda?
La primera vez que duele el cuello o espalda para diagnosticar la causa y descartar que se deba a una enfermedad general.
Cuando el dolor se acompaña de signos generales o síntomas neurológicos:
- Disminución importante de fuerza en las piernas, pierde sensibilidad en la zona genital y periné, pérdida del control al orinar o defecar, o alteración de la movilidad fina de los dedos.
- Fiebre no explicada.
- Imposibilidad de hacer la más mínima flexión hacia delante.
- Dolor que no varía en función de la postura, que es predominantemente nocturno, que dura más de 14 días o, en pacientes con osteoporosis, dolor que aparece tras una caída o traumatismo.
- Pérdida injustificada del 10 por ciento o más del peso corporal.
Por el contrario, no es necesario acudir al médico cuando:
- El dolor es parecido a uno que ya ha tenido anteriormente y dura menos de 14 días.
- No se acompaña de signos generales ni neurológicos.
Fecha de última modificación: