Kultura eta Hizkuntza Politika Saila

Izadi Jakintza»Izadi jakintza

Sistema inmunologikoaren osagaiak: zelulak eta organoak

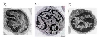
1. Irudia: Zelula inmunitarioak: A) monozitoa; B) neutrofiloa; C) linfozitoak.<br>

LABURPENA: Sistema inmunologikoa gorputz osoan barna barreiaturik dagoen egitura multzo batez dago osatua. Era askotako zelula inmunologikoak diren arren, leukozitoen familiakoak dira denak, eta, hortaz, zelula beretan dute lehen jatorria. Zelula mota nagusiak monozitoak, makrofagoak eta neutrofiloak dira, alegia, inmunizazioaren bi eratako erantzunetan parte har dezaketen fagozitoak, eta B eta T linfozitoak, erantzun bereziaren eragile direnak. B linfozitoek antigorputzak sortzen dituzte, eta T linfozitoak dira zelula erantzunaren arduradunak.
Zelula hauek benetako organoak osatzen dituzte, gutxi asko antolaturiko ehun edo ehun barreiatu moduan, edota benetako ehunak osatzera iristen ez diren zelula multzo gisa. Organoen baitan, bereizi beharra dago, alde batetik, organo linfoide primarioak (hezur muina eta timoa), non sortzen eta heltzen diren linfozitoak, eta bestetik, organo linfoide sekundarioak (linfa gurintxoak eta barea); sekundarioetan pilatzen dira linfozitoak (eta beste zelula inmunologikoak), eta horietxetan gertatzen dira, heldu direnean, defentsa erreakzio gehienak.

 

Sistema inmunologikoa

Sistema inmunologikoa gorputz osoan zehar banaturik dauden ehun eta organoek, eta gehienbat leukozitoen familiakoak diren era askotako zelulek osatzen dute. Defentsan eginkizunak dituzten leukozito mota nagusiak hauek dira: fagozitoak (monozitoak, makrofagoak eta neutrofiloak) eta linfozitoak (B, T eta NK). Mota nagusi horiez gainera, beste zelula batzuk ere badira, erantzun inmunitarioko prozesuetan laguntza lanak egiten dituztenak.

 

Zelulak

 

Monozitoak eta makrofagoak

Monozitoak edo fagozito gune-bakarrak hezur muinean eratzen diren leukozitoak dira, gero odolera igarotzen direnak, non hiru bat egun pasatzen dituzten. Geroago ehunetara (ehun gehienetara) joaten dira; haietan heldu eta makrofago bihurtzen dira, askotan, ehunaren arabera, izen desberdinak hartzen dituztela (Küpfferren zelulak gibelean, A zelulak sinobia isurkarian, Langerhansen zelulak larruazalean, etab.). Tamainaz handiak dira, 50 bat µm, eta zenbait hilabetetako bizialdia izaten dute.
Hanturazko erantzunean eta inmunizazio erantzun berezian, bietan, hartzen dute parte monozitoek. Eginkizun bereziena egituraarrotzak fagozitatzea dute: mikroorganismoak, zelula hondakinak, zatikiak, etab.
Horretan garrantzitsuenak bareko eta gibeleko makrofagoak dira, gure gorputzean sartzen diren gai arrotzen benetako araztegi gisa jokatzen baitute. Fagozitosia gerta dadin makrofagoak zatiki arrotza ezagutu beharra du; ezagutza hori bai zatikiari, bai makrofagoari lotzeko gauza diren gai batzuek errazten dute. Era berean, zelula horiek linfozitoekin batera jarduten dute antigenoen ezagutzan, antigenoa T linfozitoei aurkeztea deritzan prozesuaren bitartez. Azkenik, hainbat gai ere (interleuzinoak), linfozitoak aktibatzeko beharrezko direnak, sintetizatzen dituzte.

 

Neutrofiloak

Hauek ere, hezur muinaren lehen zeluletatik abiaturik sortzen dira; odolera igarotzen dira gero, eta odolean den leukozito talde handiena osatzen dute. Gune lobuluanitz bitxi bat dute, eta hiru edo lau egun baino gehiago ez dute irauten. Gai arrotzen bat sartu den ehunen aldera mugitzen dira, eta, zitoplasmako bikor ugarietan dauden entzimen bidez, gai horiek fagozitatu eta suntsitu egiten dituzte. Hanturan parte hartzen duten defentsazko aurreneko zelulak izaten dira.

 

Linfozitoak

Inmunitate berezia eragiten duten zelulak dira. Asko dira, 2 x 1012 bat dira, beraz, gibelaren eta garunaren pareko dira zelula masari dagokionez. Linfozitoak aspalditik ezagutzen baziren ere, 1950 arte ez zen zehazterik izan zein paper jokatzen duten zelula hauek inmunitatearen eragile gisa.
Gainerako odol zelulak bezala, linfozitoek ere, umeki aldian gibelean eta jaiotzaren ondoren hezur muinean dauden zeluletan dute sorburua. Organismoan bi linfozito mota bizi dira elkarren aldamenean, T eta B.
T linfozitoak timoan bereizten eta heltzen dira, eta B linfozitoak hezur muinean bertan, alegia, organo linfoide primarioetan.
Zelula horietako batzuk, zirkulazioarenbitartez, bigarren mailako organo linfoideetara igarotzen dira gero (bare, linfa gurintxo, amigdala, eta abarretara).
Bi mota horien arteko alde nagusia, egituran baino areago, eginkizunean datza. Antigenoak kitzikatu aurretik, oso antzeko morfologia izaten dute, eta ezin dira bereizi ez mikroskopio optikoaren bidez, ez elektronikoaren bidez. Aktibatzen direnean, banatu eta itxura desberdina hartzen dute.
B linfozitoek (edo B zelulek), eragile arrotzari kontra egiteko, antigorputzak sortzen eta askatzen dituzte, hau da, molekula jakin bat (antigenoa) ezagutzeko gai diren molekula bereziak, harekin lotzeko gero. Sortu,B zelulen aktibazioaren ondoren osaturiko zelula plasmatikoek sortzen dituzte antigorputzak.
Bere gaian ikusiko den bezala, gai arrotzaren azalean dagoen molekularen bat, edota gai kimiko bat (toxina), eragileak sortua, izan daiteke antigenoa. Linfozito hauen beste eginkizun garrantzitsu bat T linfozitoei antigenoak aurkeztea da, makrofagoen kasuan ikusi den bezala.
T linfozitoek (edo T zelulek) defentsa baliapide ugariagoak dituzte, eta, hala, eginkizunen arabera espezializatu diren zelula motak dira. T zelula lankideak edo laguntzaileak (T H ), B zelulen garapenean parte hartzen dute, haiek antigorputzak sor ditzaten, eta fagozitoei ere (makrofago eta abarrei) lagun diezaiekete gai arrotzak suntsitzen.
Beste talde bat, T zitotoxikoak (T C ), gauza dira birusek edo beste gai eragileek infektaturiko zelulak ezagutu eta suntsitzeko.
Lotura estua dago linfozitoen eta fagozitoen arteko jardunean. Gorago esan da makrofago batzuek erakuts diezaizkieketela beren antigenoak T linfozitoei, ezagutu ditzaten.
Aldi berean, B linfozitoen antigorputzek, mikrobioekin elkartzean, fagozitoek mikrobio horiei antzeman eta erasotzea bideratzen dute. Hala bada, oso prozesu konplexua da organismoaren defentsa, linfozitoek eta fagozitoek koordinaturik parte hartzen dutena.
Aurreko zelulez gainera –horiek dira defentsaren organo nagusiak–, badira antzeko eginkizunak dituzten beste zelula motak ere: leukozito eosinofiloak eta basofiloak, mastozitoak, linfozito erasotzaile naturalak edo NK zelulak, plaketak, etab. Nabarmentzekoak dira NK zelulak, edo erasotzaile naturalak, tumorren zelulak eta orobat birusek infektaturikoak, hiltzeko gauza direnak, zelula horiek gorputzekoak bertakoak nahiz arrotzak izan, hau da, eraso mota berezirik gabe (sortzezko inmunitateari dagokion moduan).

 

Ehun eta organo linfoideak

Ia organismo osoan aurki genitzake inmunitate zelulak. Hala ere, bada zelula horien sorrera edo hazkunde prozesuan inplikaturik dauden ehun eta organo multzo bat.
Anatomiari dagokionez oso sakabanatuak dauden arren, batasuna badute, zirkulazio eta linfa sistemaren bidez baitaude komunikaturik.
Eginkizunaren aldetik, multzo integratu baten gisara jokatzen dute, eta, hortaz, sistematzat hartzen dira. Primario eta sekundario gisa sailkatzen dira, linfozitoen sintesi eta heltze gune izan, ala zirkulazio, pilaketa eta jardun gune izan.

 

Organo linfoide primarioak

Linfozitoak sortzen eta hazten diren organo nagusiak dira. B linfozitoak ugaztunetan, umekiaren gibelean eta hezur luzeen muin gorrian sortzen eta heltzen dira. Bestalde, T linfozitoak hezur muinean sortzen dira, baina timoan heltzen dira gero, alegia, beste organo linfoide primarioan.
Ugaztunen hezur muina hezur luzeen buruan dago, eta hezur harroen tarteetan.
Ehun biguina da, odol kapilare askokoa; kapilar horiek muin sinuetan bukatzen dira, eta horietxetan sortzen eta garatzen dira B linfozitoak. Organo hori hegaztien Fabrizioen poltsaren parekotzat hartzen da, hor ere heltzen baitira B zelulak (eta hortik dator zelula hauen izena). Muina da orobat T linfozito heldugabeen sorrarazlea, baina linfozito horiek gero timora joan eta han heltzen dira. Bestalde, T linfozito helduak eta zelula plasmatikoak (B linfozitoetatik sortuak) pilatzeko gauza da muina, eta, hortaz, organo linfoide sekundario gisa ere jokatzen du.
Timoa bularraldean, bihotzaren gainean, dagoen organo txiki bat da. Bi lobuluk osatzen dute, lobulu txikiagoetan antolaturik, eta horietan daude zelula linfoideoak, bi geruzetan: oraindik heldugabeak diren zelulekiko azalean, eta T linfozito helduak dituen muinean. Timoa, ugaztunetan, umekiarengangaratzen da osorik , eta pixkanapixkana , pubertarotik aurrera , atrofiatu egiten da , lobulu txikien azala batez ere..
Heltze prozesuan , T eta B linfozito asko hiltzen dira , batzuk timoan eta hezur muinean besteak , hautaketa prozesu baten ondoren. Bizirik geratzen direnak mugitzen hasten dira organo linfoide sekundarioen edo periferikoen aldera.

 

Ehun eta organo linfoide sekundarioak

Organo linfoide sekundarioetan heldutasuna iritsi ondoren, ehun sekundarioetarantz alde egiten dute linfozitoek. Ehun horiek bi eratako egituretan daude kokatuak: benetako organo linfoide diren barean eta linfa gurintxoetan, eta gorputz osoan banaturiko organo batzuen muki mintzetan (txegoste aparatuan, arnasbideetan eta traktu urogenitalean). Barera eta gurintxoetara, hurrenez hurren, odolean eta linfa hodietan barna ailegatzen dira antigenoak; muki mintzetara berriz zuzenean iristen dira, mintzek estaltzen dituzten hodietatik (txegoste, arnas aparatu, eta abarretara).
Organo horietan pilatzen dira zelula inmunologikoak; linfa gurintxoetan eta barean gertatzen dira makrofagoen eta neutrofiloen fagozitatze lana eta erreakzio inmunologikoa, mikrobioak, zatiki arrotzak, ehun hondakinak eta zelula hilak suntsitzen dituena.
Linfozitoak eta makrofagoak etengabe mugitzen direnez gero odol, ehun eta organo linfoide sekundarioetan barna, errazago jartzen dira elkarrekin harremanetan, eta errazago topatzen dituzte antigenoak; horrela burutzen da erantzun inmunologikorik izan dadin nahitaezkoa den urratsa.
Barea, arazte eginkizun garrantzitsuak dituen organoa, urdailaren atzean eta diafragmatik gertu dago. Bi ehun mota izaten ditu barnean: mami gorria eta mami zuria.
Zuria da berez linfoideoa, eta B eta T linfozitoez osatua, makrofagoez gainera. Bestalde, gorria eritrozitoen, plaketa eta bikor txikien gordeleku da, eta orobat balio du eritrozitoak eta plaketak suntsitzeko, makrofagoek fagozitatzen baitituzte.
Linfa gurintxoek edo noduluek ehun isurkaritik datozen antigenoak eta linfa sistemako hodietatik dabilen linfarenak irazten ditu. Gurintxoak hodi horien adarretan egoten dira, eta leku jakinetan pilatzen dira: lepoan, galtzarbeetan, izterrondoetan, eta sabel barrunbean. Formaz biribil antzekoak izaten dira, eta diametroa 1-15 mm artekoa izaten dute.
Inmunitate zelulak gurintxoaren parte jakinetan daude bilduta: azalean B zelulak, folikuluetan elkartuak; T linfozitoak azalaren ondoan, eta erdiko muinean B eta T zelulak, makrofagoak eta plasmatikoak.
Muki mintzei loturiko ehun linfoidea barreiatuta nahiz noduluetan antolatuta egon daiteke. Txegostearen muki mintzen artean, apendizea, Peyerren plakak eta amigdalak daude. Azken horiek zelula linfoideen kopuru handiak dituzte, sorrera guneetan pilatuak. Bronkioetan eta traktu urogenitalean daudenak antzekoak dira. Ehun linfoide horrez gainera, badira linfozito asko aipatu diren aparatuen muki mintzetan banatuak.